Četvrtak šesti i sedmi sat vrijeme je kad se prebrišu podjele na razrede i učenici se uključuju u radionice koje su odabrali pohađati u tekućem polugodištu.
Prošlog četvrtka održana je druga radionica u ovom polugodištu u kojem su mogli birati između jedanaest radionica. Zavirili smo malo u neke od njih!
PLESNA RADIONICA

Danas smo na plesnoj radili osnovne kretnje svih plesnih stilova i primjenili ih u koreografiju na brojanje. Nismo još sasvim sretni kako je ispalo, pa u zamjenu nudimo filmić što ga je lanjska plesna snimila na Zrinjevcu.
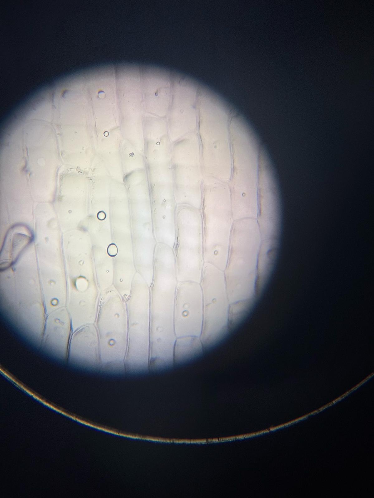
PRIRODOSLOVNA

Učenici su se danas bavili mikroskopiranjem. Samostalno su izrađivali mikroskopske preparate i istraživali stanice pokožice luka u različitim fazama staničnog ciklusa, uz promatranje i usporedbu trajnih preparata.

Naš preparat iz pokožice luka.

Trajni preparat – Duodenum (dvanaesnik), početni dio tankog crijeva.
MATEMATIČKA

Na matematičkoj smo radionici tražili matematiku u svakodnevnom životu kroz izazovne sadržaje i zanimljive situacije.

Učenici su bili jako kreativni i predložili zanimljivu matematičku situaciju koju su na kraju i samostalno obrazložili.
FILMSKA
Pst! Filmska je danas u kreativnom zanosu … nemojte ih smetati – oni ove godine imaju u planu snimiti dokumentarac i upravo razrađuju ideje za scenario!

INOVACIJSKA
Inovatori su danas nadahnuti prošlotjednom posjetom Arca-i pa su se sada bacili na osmišljavanje vlastitih inovacija!

Podijelili su se u grupe prema interesima i osmišljavali projekte koje će izraditi za iduće smotre i natjecanja. Neki su pak radili na tehničkoj dokumentaciji za svoje projekte.
LITERARNA


Učenici su analizirali knjigu “Ubiti pticu rugalicu” autorice Harper Lee i raspravljali o problemima rasne segregacije (pravne i stvarne) kasnih 30-ih i ranih 40-ih godina 20. stoljeća na području američkog Juga.
SCENSKA

Učenici su gradili improvizirane scene na temelju neobičnih i maštovitih rečenica koje ljudi izgovaraju u svojoj svakodnevici. Izazov u kojem su “rasturili” je bio, kako u isti prizor spojiti međusobno nespojive karaktere i situacije koji u ovakvim vježbama nastaju.
TALIJANSKA

Našu talijansku radionicu vode profesori – izvorni govornici. Evo što se danas radilo na radionici:
Abbiamo guardato la prima puntata della serie italiana Mare fuori, ambientata a Napoli e incentrata sulle vicende di un gruppo di giovani detenuti.
Durante la visione ci siamo soffermati soprattutto sulle emozioni che le prime situazioni della storia ci hanno suscitato, cercando di comprendere i sentimenti, le paure e le speranze dei protagonisti.
Abbiamo inoltre cercato di cogliere, attraverso le immagini e i dialoghi, una prima impressione della realtà napoletana, con le sue contraddizioni, la sua energia e la sua umanità.
Razumijemo da Vam možda talijanski još nije na ovoj razini pa evo i prijevoda:
Gledali smo prvu epizodu talijanske serije Mare fuori, koja je smještena u Napulj i usredotočena na događaje u životima skupine mladih zatvorenika.
Tijekom gledanja posebno smo se zaustavili na emocijama koje su u nama pobudile prve situacije u priči, nastojeći razumjeti osjećaje, strahove i nade glavnih likova.
Također smo pokušali, kroz slike i dijaloge, steći prvi dojam o napuljskoj stvarnosti – s njezinim proturječnostima, energijom i ljudskošću.
FOTO RADIONICA

Foto radonica izišla je na obližnji Mažuranac.


Zadatak je bio kratak i jasan – uslikati pejsaž!
RADIONICA ZA BISTAR POGLED

Na radionici Za bistar pogled ovaj put smo raspravljali o ovisnostima u duhu pripreme za natječaj NZJZ-a Andrija Štampar: “Škola bez ovisnosti – grad bez ovisnosti”. Učenici drugih i trećih razreda su spremno odgovarali na pitanja i pokazivali svoje znanje koje su stekli tijekom nedavnog predavanja o ovisnostima u školi, dok su učenici prvih razreda naučili nešto novo. Zajedno smo kritički sagledali prikupljena znanja i imali mali brainstorm ideja za plakate, nakon čega su učenici u grupama krenuli smišljati i crtati prve skice za natječaj.

Zajedno smo kritički sagledali prikupljena znanja i imali mali brainstorm ideja za plakate, nakon čega su učenici u grupama krenuli smišljati i crtati prve skice za natječaj.
Eto, tako to izgleda četvrtcima kod nas. Bit će opet zanimljivo svjedičiti što će se sve zgodno iznjediriti iz ovih naših malih generatora zanimljivosti.













